9:30〜17:30(土曜16:30まで)
※休診日は木曜・日曜・祝日。
※13:00~14:00は対応外です。
新施術の症例
- New Case -
注入前
注入後
治療内容:立ち耳ヒアルロン酸(フィラー)
治療回数:1回
リスク、副作用等:腫れ、赤み、痛みなど
施術費用:120,000円(税込132,000円)
治療前
6カ月
治療内容:FatXcore
治療回数:1回/4㏄
リスク、副作用等:熱感、赤み、ヒリヒリ感、皮むけなど
施術費用:¥40,000(税込¥44,000)
人気施術の症例
- Popular Case -
case1
レーザーによるシミ(老人性色素班)治療




| 治療内容 |
Qスイッチレーザー |
|---|---|
| 症状・お悩み |
老人性色素班 |
| 治療期間・回数 |
1回 |
| 施術費用 |
¥30,000(税込¥33,000) |
| リスク、副作用等 |
熱感、赤み、ヒリヒリ感、皮むけなど |
case2
レーザーによるシミ(老人性色素班)治療



| 治療内容 |
Qスイッチレーザー |
|---|---|
| 症状・お悩み |
老人性色素班 |
| 治療期間・回数 |
1回 |
| 施術費用 |
¥45,000(税込¥49,500) |
| リスク、副作用等 |
熱感、赤み、ヒリヒリ感、皮むけなど |
case3
ノーリスによるシミ治療


| 治療内容 |
ノーリス |
|---|---|
| 症状・お悩み |
老人性色素班 |
| 治療期間・回数 |
4回 |
| 施術費用 |
【4回セット】¥96,000(税込¥105,600) |
| リスク、副作用等 |
赤み、ほてり、一時的な炎症後色素沈着(色素が濃くなる) |
case4
ノーリスによるシミ治療


| 治療内容 |
ノーリス |
|---|---|
| 症状・お悩み |
老人性色素班 |
| 治療期間・回数 |
3回 |
| 施術費用 |
¥90,000(税込¥99,000) |
| リスク、副作用等 |
赤み、ほてり、一時的な炎症後色素沈着(色素が濃くなる) |
case5
ノーリスによるシミ治療


| 治療内容 |
ノーリス |
|---|---|
| 症状・お悩み |
老人性色素班 |
| 治療期間・回数 |
3回 |
| 施術費用 |
1回:¥30,000(税込¥33,000)× 3回 = ¥90,000(税込¥99,000) |
| リスク、副作用等 |
赤み、ほてり、一時的な炎症後色素沈着(色素が濃くなる) |
case6
レーザーによるそばかす治療


| 治療内容 |
Qスイッチレーザー |
|---|---|
| 症状・お悩み |
老人性色素班 |
| 治療期間・回数 |
レーザー治療1回 |
| 施術費用 |
¥20,000(税込¥22,000) |
| リスク、副作用等 |
熱感、赤み、ヒリヒリ感、皮むけなど |
case1
ソフウェーブによるリフトアップ治療






| 治療内容 |
ソフウェーブ |
|---|---|
| 症状・お悩み |
顔のたるみ |
| 治療期間・回数 |
1回 |
| 施術費用 |
¥330,000(税込¥363,000) |
| リスク、副作用等 |
熱傷・感染・神経損傷 |
case2
ソフウェーブによるリフトアップ治療






| 治療内容 |
ソフウェーブ |
|---|---|
| 症状・お悩み |
顔のたるみ |
| 治療期間・回数 |
1回 |
| 施術費用 |
¥330,000(税込¥363,000) |
| リスク、副作用等 |
熱傷・感染・神経損傷 |
case3
ボトックスによるリフトアップ治療




| 治療内容 |
リフトアップボトックス |
|---|---|
| 症状・お悩み |
顔のたるみ |
| 治療期間・回数 |
1回 |
| 施術費用 |
¥80,000(税込¥88,000) |
| リスク、副作用等 |
腫れ、感染、内出血、左右不対称など |
case1
FatXcore(ファットエックスコア)による小顔治療




| 治療内容 |
FatXcore(ファットエックスコア) |
|---|---|
| 症状・お悩み |
二重アゴ |
| 治療期間・回数 |
1回/4cc |
| 施術費用 |
¥40,000(税込¥44,000) |
| リスク、副作用等 |
熱感、赤み、ヒリヒリ感、皮むけなど |
case2
ボトックスによるえら治療




| 治療内容 |
ボトックス |
|---|---|
| 症状・お悩み |
えらの張り |
| 治療期間・回数 |
1回 |
| 施術費用 |
¥60,000(税込¥66,000) |
| リスク、副作用等 |
腫れ、感染、内出血、左右不対称など |
case1
VビームⅡレーザーによるニキビ治療


| 治療内容 |
VビームⅡレーザー |
|---|---|
| 症状・お悩み |
ニキビ |
| 治療期間・回数 |
3回 |
| 施術費用 |
¥15,000(税込¥16,500) |
| リスク、副作用等 |
赤み、腫れ、ヒリヒリ感、紫斑(内出血)、水疱、かさぶた、炎症後色素沈着 |
case2
医療用ダブルピーリング+イオン導入+ドクターズコスメ+外用薬によるニキビ治療


| 治療内容 |
医療用ダブルピーリング+イオン導入(ビタミンC):10回(約2週間に1回施術) |
|---|---|
| 症状・お悩み |
ニキビ |
| 治療期間・回数 |
10回 |
| 施術費用 |
【ケミカルピーリング】 1クール目(4回コース):\43,200(税込¥47,520)+2クール目(4回コース):\37,800(税込¥41,580) +3クール目以降(9回目・10回目):\19,000(税込¥20,900)(\9500(税込¥10,450)×2回)=\99,100(税込¥109,010) |
| リスク、副作用等 |
赤み、めくれ、乾燥、ニキビ、かさぶたなど |
case3
医療用ダブルピーリング+イオン導入+ドクターズコスメによるニキビ治療


| 治療内容 |
医療用ダブルピーリング+イオン導入(ビタミンC):15回(約2週間に1回施術) |
|---|---|
| 症状・お悩み |
背中のニキビ |
| 治療期間・回数 |
15回 |
| 施術費用 |
【医療用ダブルピーリング】 1クール目(4回コース):\65,520(税込¥70,072)+2クール目(4回コース):\58,500(税込¥64,350) +3クール目以降(9回目・10回目):\29,900(税込¥32,890)(\14,950(税込¥16,445)×2回)=\153,920(税込¥169,312) |
| リスク、副作用等 |
赤み、めくれ、乾燥、ニキビ、かさぶたなど |
case1
ノーリスによる赤ら顔治療


| 治療内容 |
ノーリス |
|---|---|
| 症状・お悩み |
赤ら顔、老人性色素班 |
| 治療期間・回数 |
3回 |
| 施術費用 |
1回:¥30,000(税込¥33,000)× 3回 = ¥90,000(税込¥99,000) |
| リスク、副作用等 |
赤み、ほてり、一時的な炎症後色素沈着(色素が濃くなる) |
case2
ノーリスによる赤ら顔治療


| 治療内容 |
ノーリス |
|---|---|
| 症状・お悩み |
赤ら顔、老人性色素班 |
| 治療期間・回数 |
4回 |
| 施術費用 |
【4回セット】¥96,000(税込¥105,600) |
| リスク、副作用等 |
赤み、ほてり、一時的な炎症後色素沈着(色素が濃くなる) |
case3
Vビームによる赤ら顔治療


| 治療内容 |
VビームⅡレーザー |
|---|---|
| 症状・お悩み |
赤ら顔 |
| 治療期間・回数 |
5回 |
| 施術費用 |
保険 |
| リスク、副作用等 |
むくみ、腫れ、痛み、出血痕(内出血)、皮膚の赤み、色素沈着 など |
case1
レーザーによる異所性蒙古斑の治療


| 治療内容 |
Qスイッチレーザー |
|---|---|
| 症状・お悩み |
異所性蒙古斑 |
| 治療期間・回数 |
5回 |
| 施術費用 |
保険 |
| リスク、副作用等 |
熱感、赤み、ヒリヒリ感、皮むけなど |
case2
レーザーによる太田母斑の治療


| 治療内容 |
Qスイッチレーザー |
|---|---|
| 症状・お悩み |
太田母斑 |
| 治療期間・回数 |
5回 |
| 施術費用 |
保険 |
| リスク、副作用等 |
熱感、赤み、ヒリヒリ感、皮むけなど |
case3
レーザーによる太田母斑の治療


| 治療内容 |
Qスイッチレーザー |
|---|---|
| 症状・お悩み |
太田母斑 |
| 治療期間・回数 |
5回 |
| 施術費用 |
保険 |
| リスク、副作用等 |
熱感、赤み、ヒリヒリ感、皮むけなど |
case4
レーザーによる後天性真皮メラノサイトーシスの治療


| 治療内容 |
Qスイッチレーザー |
|---|---|
| 症状・お悩み |
後天性真皮メラノサイトーシス |
| 治療期間・回数 |
3回 |
| 施術費用 |
保険 |
| リスク、副作用等 |
熱感、赤み、ヒリヒリ感、皮むけなど |
case5
VビームⅡレーザーによる赤あざ治療


| 治療内容 |
VビームⅡレーザー |
|---|---|
| 症状・お悩み |
赤あざ |
| 治療期間・回数 |
7回 |
| 施術費用 |
保険 |
| リスク、副作用等 |
むくみ、腫れ、痛み、出血痕(内出血)、皮膚の赤み、色素沈着 など |
case1
ボトックスによる眉間のシワ治療


| 治療内容 |
ボトックス注射 |
|---|---|
| 症状・お悩み |
眉間のしわ |
| 治療期間・回数 |
1回 |
| 施術費用 |
¥40,000(税込¥44,000) |
| リスク、副作用等 |
腫れ、感染、内出血、痛み、左右不対称など |
case2
ボトックスによる額(おでこ)の横ジワ治療


| 治療内容 |
ボトックス注射 |
|---|---|
| 症状・お悩み |
おでこのしわ |
| 治療期間・回数 |
1回 |
| 施術費用 |
¥40,000(税込¥44,000) |
| リスク、副作用等 |
腫れ、感染、内出血、痛み、左右不対称など |
case3
ヒアルロン酸によるこめかみの凹み治療


| 治療内容 |
ヒアルロン酸注入 |
|---|---|
| 症状・お悩み |
こめかみの凹み |
| 治療期間・回数 |
1回/0.5cc |
| 施術費用 |
¥50,000(税込¥55,000) |
| リスク、副作用等 |
アレルギー反応、感染、血管塞栓、凹凸、内出血、腫れなど |
case4
ヒアルロン酸による頬のこけの治療
注入した右頬
ふっくら
正面
注入していない左頬
しわが目立つ
| 治療内容 |
ヒアルロン酸注入 |
|---|---|
| 症状・お悩み |
頬のこけ |
| 治療期間・回数 |
1回/1.5cc |
| 施術費用 |
¥130,000(税込¥143,000) |
| リスク、副作用等 |
アレルギー反応、感染、血管塞栓、凹凸、内出血、腫れなど |
case1
ボトックスによる口角を上げる治療

| 治療内容 |
ボトックス注射 |
|---|---|
| 症状・お悩み |
口角 |
| 治療期間・回数 |
1回 |
| 施術費用 |
¥20,000(税込¥22,000) |
| リスク、副作用等 |
腫れ、感染、内出血、痛み、左右不対称など |
case2
ボトックスによる口角を上げる治療

| 治療内容 |
ボトックス注射 |
|---|---|
| 症状・お悩み |
口角 |
| 治療期間・回数 |
1回 |
| 施術費用 | ¥20,000(税込¥22,000) |
| リスク、副作用等 |
腫れ、感染、内出血、痛み、左右不対称など |
case3
ボトックスによる唇の縦ジワ治療


| 治療内容 |
ボトックス注射 |
|---|---|
| 症状・お悩み |
唇の縦ジワ |
| 治療期間・回数 |
1回 |
| 施術費用 |
¥50,000(税込¥55,000) |
| リスク、副作用等 |
腫れ、感染、内出血、痛み、左右不対称など |
case4
ボトックスによる唇の縦ジワ治療


| 治療内容 |
ボトックス注射 |
|---|---|
| 症状・お悩み |
唇の縦ジワ |
| 治療期間・回数 |
1回 |
| 施術費用 | ¥50,000(税込¥55,000) |
| リスク、副作用等 |
腫れ、感染、内出血、痛み、左右不対称など |
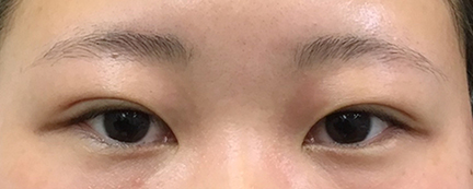
case1
ボトックスによる目尻のシワ治療


| 治療内容 |
ボトックス注射 |
|---|---|
| 症状・お悩み |
目尻のしわ |
| 治療期間・回数 |
1回 |
| 施術費用 |
¥40,000(税込¥44,000) |
| リスク、副作用等 |
腫れ、感染、内出血、痛み、左右不対称など |
case2
眉下しわ取り術による眉下リフト


| 治療内容 |
眉下しわ取り術(眉下リフト) |
|---|---|
| 症状・お悩み |
眉下のたるみ |
| 治療期間・回数 |
1回 |
| 施術費用 |
¥290,000(税込¥319,000) |
| リスク、副作用等 |
腫れ、感染、内出血、痛み、左右不対称など |
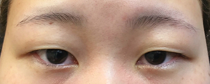
case3
ヒアルロン酸による上眼瞼のくぼみ、下眼瞼のしわ治療


| 治療内容 |
ヒアルロン酸注入 |
|---|---|
| 症状・お悩み |
上眼瞼のくぼみ、下眼瞼のしわ |
| 治療期間・回数 |
1回/0.5cc |
| 施術費用 |
¥50,000(税込¥55,000) |
| リスク、副作用等 |
アレルギー、感染、血管塞栓、凹凸、内出血、腫れなど |
case4
【20代・女性】切らない眼瞼下垂手術


| 治療内容 |
切らない眼瞼下垂手術 |
|---|---|
| 症状・お悩み |
眼瞼下垂 |
| 治療期間・回数 |
1回 |
| 施術費用 |
片目約¥25,000(3割負担) |
| リスク、副作用等 |
腫れ、感染、内出血、痛み、左右不対称など |
case5
【70代・女性】切らない眼瞼下垂手術


| 治療内容 |
切らない眼瞼下垂手術 |
|---|---|
| 症状・お悩み |
眼瞼下垂 |
| 治療期間・回数 |
1回 |
| 施術費用 |
片目約¥8,000(1割負担) |
| リスク、副作用等 |
腫れ、感染、内出血、痛み、左右不対称など |
case6
経結膜下脱脂術によるたるみグマ治療




| 治療内容 |
経結膜下脱脂術 |
|---|---|
| 症状・お悩み |
たるみグマ(目袋) |
| 治療期間・回数 |
1回 |
| 施術費用 |
¥280,000(税込¥308,000) |
| リスク、副作用等 |
内出血、感染、左右非対称、結膜浮腫、小じわ増加など |
case1
【21歳 男性】ドクターグロー服用による薄毛治療


| 治療内容 |
ドクターグロー |
|---|---|
| 症状・お悩み |
薄毛 |
| 治療期間・回数 |
12ヵ月 |
| 施術費用 |
¥24,000(税込¥26,400)× 12ヶ月 = ¥28,000(税込¥316,800) |
| リスク、副作用等 |
性欲減退、勃起機能障害(ED)、男性機能低下、肝機能障害 |
case2
【28歳 男性】ドクターグロー服用による薄毛治療


| 治療内容 | ドクターグロー |
|---|---|
| 症状・お悩み | 薄毛 |
| 治療期間・回数 | 10ヵ月 |
| 施術費用 | ¥24,000 × 10ヶ月 = ¥240,000(税込¥264,000) |
| リスク、副作用等 | 性欲減退、ED、男性機能低下、肝機能障害 |
case3
【29歳 男性】ドクターグロー服用による薄毛治療


| 治療内容 | ドクターグロー |
|---|---|
| 症状・お悩み | 薄毛 |
| 治療期間・回数 | 10ヵ月 |
| 施術費用 | ¥24,000 × 10ヶ月 = ¥240,000(税込¥264,000) |
| リスク、副作用等 | 性欲減退、ED、男性機能低下、肝機能障害 |
case1
【30歳 男性】ドクターグロー服用による薄毛治療




| 治療内容 | ドクターグロー |
|---|---|
| 症状・お悩み | 薄毛 |
| 治療期間・回数 | 8ヵ月 |
| 施術費用 | ¥24,000 × 8ヶ月 = ¥192,000(税込¥212,200) |
| リスク、副作用等 | 性欲減退、ED、男性機能低下、肝機能障害 |
case2
【34歳 男性】ドクターグロー服用による薄毛治療




| 治療内容 | ドクターグロー |
|---|---|
| 症状・お悩み | 薄毛 |
| 治療期間・回数 | 6ヵ月 |
| 施術費用 | ¥24,000 × 6ヶ月 = ¥144,000(税込¥158,400) |
| リスク、副作用等 | 性欲減退、ED、男性機能低下、肝機能障害 |
case3
【35歳 男性】ドクターグロー服用による薄毛治療




| 治療内容 | ドクターグロー |
|---|---|
| 症状・お悩み | 薄毛 |
| 治療期間・回数 | 6ヵ月 |
| 施術費用 | ¥24,000 × 6ヶ月 = ¥144,000(税込¥158,400) |
| リスク、副作用等 | 性欲減退、ED、男性機能低下、肝機能障害 |
case1
【42歳 男性】ドクターグロー服用による薄毛治療




| 治療内容 | ドクターグロー |
|---|---|
| 症状・お悩み | 薄毛 |
| 治療期間・回数 | 8ヵ月 |
| 施術費用 | ¥24,000 × 8ヶ月 = ¥192,000(税込¥212,200) |
| リスク、副作用等 | 性欲減退、ED、男性機能低下、肝機能障害 |
case2
【42歳 男性】ドクターグロー服用による薄毛治療




| 治療内容 | ドクターグロー |
|---|---|
| 症状・お悩み | 薄毛 |
| 治療期間・回数 | 8ヵ月 |
| 施術費用 | ¥24,000 × 8ヶ月 = ¥192,000(税込¥212,200) |
| リスク、副作用等 | 性欲減退、ED、男性機能低下、肝機能障害 |
case3
【47歳 男性】ドクターグロー服用による薄毛治療




| 治療内容 | ドクターグロー |
|---|---|
| 症状・お悩み | 薄毛 |
| 治療期間・回数 | 8ヵ月 |
| 施術費用 | ¥24,000 × 10ヶ月 = ¥240,000(税込¥264,000) |
| リスク、副作用等 | 性欲減退、ED、男性機能低下、肝機能障害 |
| 治療内容 |
ドクターグロー |
|---|---|
| 症状・お悩み |
薄毛 |
| 治療期間・回数 |
12ヵ月 |
| 施術費用 |
¥24,000(税込¥26,400)× 5ヶ月 = ¥120,000(税込¥132,000) |
| リスク、副作用等 |
性欲減退、勃起機能障害(ED)、男性機能低下、肝機能障害 |
| 治療内容 | ドクターグロー(女性用) |
|---|---|
| 症状・お悩み | 薄毛 |
| 治療期間・回数 | 8ヵ月 |
| 施術費用 | ¥24,000 × 8ヶ月 = ¥192,000(税込¥212,200) |
| リスク、副作用等 | 多毛症、初期脱毛、むくみ、動悸、息切れ、肝機能障害など |
case2
【23歳 女性】ドクターグロー(女性用)服用による薄毛治療




| 治療内容 | ドクターグロー(女性用) |
|---|---|
| 症状・お悩み | 薄毛 |
| 治療期間・回数 | 7ヵ月 |
| 施術費用 | ¥24,000 × 7ヶ月 = ¥168,000(税込¥184,800) |
| リスク、副作用等 | 多毛症、初期脱毛、むくみ、動悸、息切れ、肝機能障害など |
case3
【25歳 女性】ドクターグロー(女性用)服用による薄毛治療




| 治療内容 | ドクターグロー(女性用) |
|---|---|
| 症状・お悩み | 薄毛 |
| 治療期間・回数 | 4ヵ月 |
| 施術費用 | ¥24,000 × 4ヶ月 = ¥96,000(税込¥105,600) |
| リスク、副作用等 | 多毛症、初期脱毛、むくみ、動悸、息切れ、肝機能障害など |
case1
【30歳 女性】ドクターグロー(女性用)服用による薄毛治療




| 治療内容 | ドクターグロー(女性用) |
|---|---|
| 症状・お悩み | 薄毛 |
| 治療期間・回数 | 9ヵ月 |
| 施術費用 | ¥24,000 × 9ヶ月 = ¥216,000(税込¥237,600) |
| リスク、副作用等 | 多毛症、初期脱毛、むくみ、動悸、息切れ、肝機能障害など |
case2
【34歳 女性】ドクターグロー(女性用)服用による薄毛治療




| 治療内容 | ドクターグロー(女性用) |
|---|---|
| 症状・お悩み | 薄毛 |
| 治療期間・回数 | 10ヵ月 |
| 施術費用 | ¥24,000 × 10ヶ月 = ¥240,000(税込¥264,000) |
| リスク、副作用等 | 多毛症、初期脱毛、むくみ、動悸、息切れ、肝機能障害など |
case3
【33歳 女性】ドクターグロー(女性用)服用による薄毛治療




| 治療内容 | ドクターグロー(女性用) |
|---|---|
| 症状・お悩み | 薄毛 |
| 治療期間・回数 | 7ヵ月 |
| 施術費用 | ¥24,000 × 7ヶ月 = ¥168,000(税込¥184,800) |
| リスク、副作用等 | 多毛症、初期脱毛、むくみ、動悸、息切れ、肝機能障害など |
case4
【36歳 女性】ドクターグロー(女性用)服用による薄毛治療




| 治療内容 | ドクターグロー(女性用) |
|---|---|
| 症状・お悩み | 薄毛 |
| 治療期間・回数 | 4ヵ月 |
| 施術費用 | ¥24,000 × 4ヶ月 = ¥96,000(税込¥105,600) |
| リスク、副作用等 | 多毛症、初期脱毛、むくみ、動悸、息切れ、肝機能障害など |
case1
【41歳 女性】ドクターグロー(女性用)服用による薄毛治療




| 治療内容 | ドクターグロー(女性用) |
|---|---|
| 症状・お悩み | 薄毛 |
| 治療期間・回数 | 6ヵ月 |
| 施術費用 | ¥24,000 × 6ヶ月 = ¥144,000(税込¥158,400) |
| リスク、副作用等 | 多毛症、初期脱毛、むくみ、動悸、息切れ、肝機能障害など |
case1
【43歳 女性】ドクターグロー(女性用)服用による薄毛治療




| 治療内容 | ドクターグロー(女性用) |
|---|---|
| 症状・お悩み | 薄毛 |
| 治療期間・回数 | 10ヵ月 |
| 施術費用 | ¥24,000 × 8ヶ月 = ¥192,000(税込¥211,200) |
| リスク、副作用等 | 多毛症、初期脱毛、むくみ、動悸、息切れ、肝機能障害など |
| 治療内容 |
ドクターグロー(女性用) |
|---|---|
| 症状・お悩み |
薄毛 |
| 治療期間・回数 |
7ヵ月 |
| 施術費用 |
¥24,000(税込¥26,400)× 7ヶ月 = ¥168,000(税込¥184,800) |
| リスク、副作用等 |
多毛症、初期脱毛、むくみ、動悸、息切れ、肝機能障害など |
case1
ソプラノアイスチタニウムによる脇の脱毛


| 施術名 |
ソプラノアイスチタニウムによる脱毛 |
|---|---|
| 症状・お悩み |
脇の毛 |
| 治療期間・回数 |
4回 |
| 施術費用 |
¥3,000(税込¥3,300)× 4回 = ¥12,000(税込¥13,200) |
| リスク、副作用等 |
赤み、痒み、肌の状態により火傷、施術後の毛嚢炎(毛包炎)など |
case1
ソプラノアイスチタニウムによるVラインの脱毛


| 施術名 |
ソプラノアイスチタニウムによる脱毛 |
|---|---|
| 症状・お悩み |
Vラインの毛 |
| 治療期間・回数 |
4回 |
| 施術費用 |
¥10,000(税込¥11,000)× 4回 = ¥40,000(税込¥44,000) |
| リスク、副作用等 |
赤み、痒み、肌の状態により火傷、施術後の毛嚢炎(毛包炎)など |
case1
ボトックスでふくらはぎを細く


| 治療内容 |
ヒアルロン酸注入 |
|---|---|
| 症状・お悩み |
ししゃも脚 |
| 治療期間・回数 |
1回 |
| 施術費用 |
¥90,000(税込¥99,000) |
| リスク、副作用等 |
腫れ、感染、内出血、痛み、左右不対称など |
case2
ボトックスでふくらはぎを細く


| 治療内容 |
ヒアルロン酸注入 |
|---|---|
| 症状・お悩み |
ししゃも脚 |
| 治療期間・回数 |
1回 |
| 施術費用 |
¥90,000(税込¥99,000) |
| リスク、副作用等 |
腫れ、感染、内出血、痛み、左右不対称など |
case3
インディバ(腹部)+AC-BODY(腹部・大腿)+リダ(服用)によるダイエット






| 治療内容 |
インディバ(腹部)+AC-BODY(腹部・大腿)+リダ(服用) |
|---|---|
| 症状・お悩み |
体重の増加 |
| 治療期間・回数 |
インディバ:10回 |
| 施術費用 |
【インディバ】 216,000円(税込237,600円)(4回コース108,000円(税込118,800円)×2)+ 60,000円(税込66,000円)(30,000(税込33,000円)×2回)= 276,000円(税込303,600円)( |
| リスク、副作用等 |
倦怠感 |
case1
大西式ナチュラル自然癒着法による


| 治療内容 |
大西式ナチュラル自然癒着法(6点交叉) |
|---|---|
| 治療期間・回数 |
1回 |
| 施術費用 |
¥200,000(税込¥220,000) |
| リスク、副作用等 |
腫れ、感染、内出血、痛み、左右不対称など |
case2
大西式ナチュラル自然癒着法による


| 治療内容 |
大西式ナチュラル自然癒着法(6点交叉) |
|---|---|
| 治療期間・回数 |
1回 |
| 施術費用 |
¥200,000(税込¥220,000) |
| リスク、副作用等 |
腫れ、感染、内出血、痛み、左右不対称など |
case3
大西式ナチュラル自然癒着法による


| 治療内容 |
大西式ナチュラル自然癒着法(6点交叉) |
|---|---|
| 治療期間・回数 |
1回 |
| 施術費用 |
¥200,000(税込¥220,000) |
| リスク、副作用等 |
腫れ、感染、内出血、痛み、左右不対称など |
case4
大西式ナチュラル自然癒着法による


| 治療内容 |
大西式ナチュラル自然癒着法(6点交叉) |
|---|---|
| 治療期間・回数 |
1回 |
| 施術費用 |
¥200,000(税込¥220,000) |
| リスク、副作用等 |
腫れ、感染、内出血、痛み、左右不対称など |
case5
大西式ナチュラル自然癒着法による


| 治療内容 |
大西式ナチュラル自然癒着法(6点交叉) |
|---|---|
| 治療期間・回数 |
1回 |
| 施術費用 |
¥200,000(税込¥220,000) |
| リスク、副作用等 |
腫れ、感染、内出血、痛み、左右不対称など |
case1
クレヴィエル(ヒアルロン酸)による隆鼻術




| 治療内容 |
クレヴィエル(ヒアルロン酸)(0.2cc注入)による隆鼻術 |
|---|---|
| 治療期間・回数 |
1回 |
| 施術費用 |
24,000円(税込26,400円)+注入料2,000円(税込2,200円)=26,000円(税込28,600円) |
| リスク、副作用等 |
赤み、むくみ、腫れ、内出血、血流障害、感染、凸凹感 |
case2
G-メッシュによる隆鼻術




| 治療内容 |
G-メッシュ(3本挿入)による隆鼻術 |
|---|---|
| 治療期間・回数 |
1回 |
| 施術費用 |
[1本目]50,000円(税込55,000円) + [2本目・3本目]30,000円(税込33,000円) = 110,000円(税込121,000円) |
| リスク、副作用等 |
赤みやむくみ、腫れ、内出血、血流障害、感染、凹凸など |
case3
テスリフトによる隆鼻術


| 治療内容 |
テスリフト(鼻筋に2本、鼻尖(鼻柱)に2本挿入)による隆鼻術 |
|---|---|
| 治療期間・回数 |
1回 |
| 施術費用 |
200,000円(税込220,000円) |
| リスク、副作用等 |
腫れ、感染、内出血、痛みなど |
case4
テスリフトによる隆鼻術


| 治療内容 |
テスリフト(鼻筋に2本、鼻尖(鼻柱)に2本挿入)による隆鼻術 |
|---|---|
| 治療期間・回数 |
1回 |
| 施術費用 |
200,000円(税込220,000円) |
| リスク、副作用等 |
腫れ、感染、内出血、痛みなど |
case5
テスリフトによる隆鼻術




| 治療内容 |
テスリフト(鼻筋に2本、小鼻に1本挿入)による隆鼻術 |
|---|---|
| 治療期間・回数 |
1回 |
| 施術費用 |
200,000円(税込220,000円) |
| リスク、副作用等 |
腫れ、感染、内出血、痛みなど |
case6
ヒアルロン酸注入による人中短縮


| 治療内容 |
ヒアルロン酸注入 |
|---|---|
| 治療期間・回数 |
1回/0.5cc |
| 施術費用 |
50,000円(税込55,000円) + 注入料2,000円(税込2,200円) = 52,000円(税込57,200円) |
| リスク、副作用等 |
内出血・アレルギー・左右不対称・痛み・違和感など |
case1
ヒアルロン酸による立ち耳治療


| 治療内容 |
立ち耳ヒアルロン酸(フィラー) |
|---|---|
| 治療期間・回数 |
1回 |
| 施術費用 |
120,000円(税込132,000円) |
| リスク、副作用等 |
腫れ、赤み、痛みなど |
case2
ヒアルロン酸による立ち耳治療


| 治療内容 |
立ち耳ヒアルロン酸(フィラー) |
|---|---|
| 治療期間・回数 |
1回 |
| 施術費用 |
120,000円(税込132,000円) |
| リスク、副作用等 |
腫れ、赤み、痛みなど |
case3
ヒアルロン酸による手の若がえり治療


| 治療内容 |
ヒアルロン酸注入 |
|---|---|
| 治療期間・回数 |
1回/2cc |
| 施術費用 |
120,000円(税込132,000円)) |
| リスク、副作用等 |
アレルギー反応、感染、血管塞栓、凹凸、内出血、腫れなど |
case4
ヒアルロン酸による手の若がえり治療


| 治療内容 |
ヒアルロン酸注入 |
|---|---|
| 治療期間・回数 |
1回/2cc |
| 施術費用 |
120,000円(税込132,000円) |
| リスク、副作用等 |
アレルギー反応、感染、血管塞栓、凹凸、内出血、腫れなど |
case5
ヒアルロン酸による手の若がえり治療



| 治療内容 |
ヒアルロン酸注入 |
|---|---|
| 治療期間・回数 |
1回/2cc |
| 施術費用 |
120,000円(税込132,000円) |
| リスク、副作用等 |
アレルギー反応、感染、血管塞栓、凹凸、内出血、腫れなど |
case6
ヒアルロン酸によるおでこ治療






| 治療内容 |
ヒアルロン酸注入 |
|---|---|
| 治療期間・回数 |
1回/2cc |
| 施術費用 |
170,000円(税込187,000円) |
| リスク、副作用等 |
アレルギー、感染、血管塞栓、凹凸、内出血、腫れなど |
case7
まつげ美容液によるまつげの育毛


| 治療内容 |
ルミガン |
|---|---|
| 症状・お悩み |
まつげ貧毛症 |
| 治療期間・回数 |
4カ月 |
| 施術費用 |
ルミガン 2.5mL 7,000円(税込7,700円) |
| リスク、副作用等 |
かゆみ、充血、目の乾き、まぶたの黒ずみ、違和感など |
ご予約、ご相談はお気軽に!
滋賀県大津市粟津町4-7
(JR石山駅前近江鉄道ビル3F) MAP
■診療科目
皮膚科・形成外科・美容皮膚科・美容外科
※完全予約制
診察のご予約はこちら
■診療日時
【平日】09:30~17:30
<電話受付は17:00まで>
※13:00~14:00は対応時間外となります。
※社内研修のある火曜日は診療時間が変動いたします。
「当院からのお知らせ」よりご確認下さい。
【土】09:30~16:30
<電話受付は16:00まで>
■休診日 木曜日、日曜日、祝日
大西メディカルラボ

滋賀県大津市粟津町4-7
(JR石山駅前近江鉄道ビル2F)MAP
■診療科目
メディカルエステ
※完全予約制
■診療日時
【月・火・水・金】09:30~17:15
<電話受付は16:45まで>
※社内研修のある火曜日は診療時間が変動いたします。
「当院からのお知らせ」よりご確認下さい。
【土】09:30~16:15
<電話受付は15:45まで>
■休診日 木曜日、日曜日、祝日